
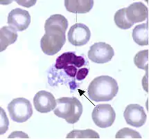
Ehrlichia
Taxonavigation
| Taxonavigation: Rickettsiales |
|---|
|
Prokaryota |
Familia: Anaplasmataceae
Genus: Ehrlichia
Species: canis group –
unclassified Ehrlichia –
References
- Ehrlichia – Taxon details on National Center for Biotechnology Information (NCBI).
This article is issued from Wikimedia. The text is licensed under Creative Commons - Attribution - Sharealike. Additional terms may apply for the media files.