Placental infarction
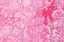
Micrograph of a placental infarct. H&E stain.
SpecialtyObstetrics

A placental infarction results from the interruption of blood supply to a part of the placenta, causing its cells to die.

Small placental infarcts, especially at the edge of the placental disc, are considered to be normal at term. Large placental infarcts are associated with vascular abnormalities, e.g. hypertrophic decidual vasculopathy, as seen in hypertension.[1] Very large infarcts lead to placental insufficiency and may result in fetal death.

Relation to maternal floor infarct

Maternal floor infarcts are not considered to be true placental infarcts, as they result from deposition of fibrin around the chorionic villi, i.e. perivillous fibrin deposition.

See also

References

  1. Marcorelles, P. (Mar 2010). "[Placenta and preeclampsia: relationships between anatomical lesions and clinical symptoms]". Ann Fr Anesth Reanim. 29 (3): e25-9. doi:10.1016/j.annfar.2010.02.013. PMID 20338716.
This article is issued from Wikipedia. The text is licensed under Creative Commons - Attribution - Sharealike. Additional terms may apply for the media files.