Amyloid-related imaging abnormalities
Other namesARIA
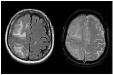
Two MRI scans demonstrating the difference between ARIA-E (left) and ARIA-H in the parietal region (right)
SpecialtyRadiology, neurology

Amyloid-related imaging abnormalities (ARIA) are abnormal differences seen in magnetic resonance imaging of the brain in patients with Alzheimer's disease. ARIA is associated with anti-amyloid drugs, particularly human monoclonal antibodies such as aducanumab.[1] There are two types of ARIA: ARIA-E and ARIA-H. The phenomenon was first seen in trials of bapineuzumab.[2]

ARIA-E

ARIA-E refers to cerebral edema, involving the breakdown of the tight endothelial junctions of the blood-brain barrier and subsequent accumulation of fluid.[3] In a double-blind trial of the humanised monoclonal antibody solanezumab (n = 2042), sixteen patients (11 taking the drug, 5 taking a placebo), or 0.78% developed ARIA-E. A further 7 patients developed ARIA-E during an open-label extension of the trial.[4]

The effect of ARIA-E depends on the severity and location of the edema. Symptoms may include headache, changes in mental state, confusion, vomiting, nausea, tremor and gait disturbances.[4]

ARIA-H

ARIA-H refers to cerebral microhaemorrhages (mH), small haemorrhages on the brain,[5] often accompanied by hemosiderosis.[1] mH are usually seen as small, round and low intensity lesions and are small haemosiderin deposits. Some studies define mH as being less than or equal to 10mm, while others define the cut-off as ≤ 5mm.[1] The prevalence of mH in healthy elderly people is approximately 6%, but this value increases to between 50% and 80% in elderly people with cerebrovascular disease.[6]

Mechanism of action

Two non-exclusive mechanisms have been postulated. Firstly, in the context of aging and neurodegeneration, the integrity of the blood-brain barrier (BBB) can become compromised, resulting in increased permeability. Notably, amyloid plaques have been hypothesized to counteract this BBB leakage.[7] However, upon the administration of antibodies, these plaques are targeted and subsequently eliminated, potentially uncovering the occurrence of micro-hemorrhage [8][9] Secondly, an alternate perspective posits that the introduction of antibodies into the bloodstream triggers an immune-inflammatory response as part of the treatment regimen. Regrettably, this orchestrated immune reaction might inadvertently precipitate micro-hemorrhages.[10]

ARIA MRI Classification Criteria

ARIA MRI Classification Criteria [11]
ARIA Type Radiographic Severity
Mild Moderate Severe
ARIA-E Edema FLAIR hyperintensity confined to sulcus and/or cortex/subcortical white matter in one location < 5 cm FLAIR hyperintensity 5 to 10 cm, or more than 1 site of involvement, each measuring < 10 cm FLAIR hyperintensity measuring > 10 cm, often with significant subcortical white matter and/or sulcal involvement. One or more separate sites of involvement may be noted.
ARIA-H microHemorrhage ≤ 4 new incident microhemorrhages 5 to 9 new incident microhemorrhages 10 or more new incident microhemorrhages
ARIA-H superficial siderosis (Hemosiderin) 1 focal area of
superficial siderosis
2 focal areas of superficial siderosis > 2 focal areas of superficial siderosis

References

  1. 1 2 3 Sperling, Reisa A.; Jack, Clifford R.; Black, Sandra E.; Frosch, Matthew P.; Greenberg, Steven M.; Hyman, Bradley T.; Scheltens, Philip; Carrillo, Maria C.; Thies, William (2016-12-12). "Amyloid Related Imaging Abnormalities (ARIA) in Amyloid Modifying Therapeutic Trials: Recommendations from the Alzheimer's Association Research Roundtable Workgroup". Alzheimer's & Dementia. 7 (4): 367–385. doi:10.1016/j.jalz.2011.05.2351. ISSN 1552-5260. PMC 3693547. PMID 21784348.
  2. DiFrancesco, Jacopo C.; Longoni, Martina; Piazza, Fabrizio (2015-09-25). "Anti-Aβ Autoantibodies in Amyloid Related Imaging Abnormalities (ARIA): Candidate Biomarker for Immunotherapy in Alzheimer's Disease and Cerebral Amyloid Angiopathy". Frontiers in Neurology. 6: 207. doi:10.3389/fneur.2015.00207. ISSN 1664-2295. PMC 4585101. PMID 26441825.
  3. "Paris: Renamed ARIA, Vasogenic Edema Common to Anti-Amyloid Therapy | ALZFORUM". www.alzforum.org. Retrieved 2016-12-11.
  4. 1 2 Carlson, Christopher; Siemers, Eric; Hake, Ann; Case, Michael; Hayduk, Roza; Suhy, Joyce; Oh, Joonmi; Barakos, Jerome (2016-03-02). "Amyloid-related imaging abnormalities from trials of solanezumab for Alzheimer's disease". Alzheimer's & Dementia. 2: 75–85. doi:10.1016/j.dadm.2016.02.004. ISSN 2352-8729. PMC 4879647. PMID 27239538.
  5. Gaillard, Frank. "Cerebral microhaemorrhage | Radiology Reference Article | Radiopaedia.org". radiopaedia.org. Retrieved 2016-12-11.
  6. Fiehler, Jens (2006-08-01). "Cerebral microbleeds: old leaks and new haemorrhages". International Journal of Stroke. 1 (3): 122–130. doi:10.1111/j.1747-4949.2006.00042.x. ISSN 1747-4949. PMID 18706032. S2CID 11780084.
  7. Atwood, Craig S.; Bowen, Richard L.; Smith, Mark A.; Perry, George (September 2003). "Cerebrovascular requirement for sealant, anti-coagulant and remodeling molecules that allow for the maintenance of vascular integrity and blood supply". Brain Research Reviews. 43 (1): 164–178. doi:10.1016/S0165-0173(03)00206-6.
  8. Hansen, Scott B.; Wang, Hao (September 2023). "The shared role of cholesterol in neuronal and peripheral inflammation". Pharmacology & Therapeutics. 249: 108486. doi:10.1016/j.pharmthera.2023.108486.
  9. Hansen, Scott B. (18 July 2023). "Cholesterol's Function and Origin in the Alzheimer's Disease Brain". Journal of Alzheimer's Disease. 94 (2): 471–472. doi:10.3233/JAD-230538.
  10. Antolini, Laura; DiFrancesco, Jacopo C.; Zedde, Marialuisa; Basso, Gianpaolo; Arighi, Andrea; Shima, Atsushi; Cagnin, Annachiara; Caulo, Massimo; Carare, Roxana O.; Charidimou, Andreas; Cirillo, Mario; Lazzaro, Vincenzo Di; Ferrarese, Carlo; Giossi, Alessia; Inzitari, Domenico; Marcon, Michela; Marconi, Roberto; Ihara, Masafumi; Nitrini, Ricardo; Orlandi, Berardino; Padovani, Alessandro; Pascarella, Rosario; Perini, Francesco; Perini, Giulia; Sessa, Maria; Scarpini, Elio; Tagliavini, Fabrizio; Valenti, Raffaella; Vázquez-Costa, Juan Francisco; Villarejo-Galende, Alberto; Hagiwara, Yuta; Ziliotto, Nicole; Piazza, Fabrizio (2 November 2021). "Spontaneous ARIA-like Events in Cerebral Amyloid Angiopathy–Related Inflammation: A Multicenter Prospective Longitudinal Cohort Study". Neurology. 97 (18): e1809–e1822. doi:10.1212/WNL.0000000000012778. hdl:10281/327960.
  11. ADUHELM- aducanumab injection, solution Drug label information from DailyMed. Retrieved 2021-06-19.
This article is issued from Wikipedia. The text is licensed under Creative Commons - Attribution - Sharealike. Additional terms may apply for the media files.