List of years in science (table)
+...
26 November 2011: NASA launches its Curiosity rover (pictured), the largest Mars rover yet built.

The year 2011 involved many significant scientific events, including the first artificial organ transplant, the launch of China's first space station and the growth of the world population to seven billion. The year saw a total of 78 successful orbital spaceflights, as well as numerous advances in fields such as electronics, medicine, genetics, climatology and robotics.

2011 was declared the International Year of Forests and Chemistry by the United Nations.[1][2]

Events, discoveries and inventions

January

18 January 2011: scientists prove that sharks are functionally colorblind.
20 January 2011: researchers demonstrate a medical technique that renders human T-cells (pictured, right) resistant to HIV.

February

3 February 2011: the Kepler space telescope discovers a planetary system of six planets orbiting the star Kepler-11 (artist's impression pictured).
  • 2 February – The Linac Coherent Light Source, an X-ray source a billion times brighter than previous sources, becomes operational at Stanford University. The device could potentially revolutionize 3D bioanalysis techniques, especially in the analysis of proteins and viruses.[38]
  • 3 February
    • A blood test to detect vCJD is developed by British scientists, who say it could identify healthy people who are carriers of the disease.[39][40]
    • Further data from the Kepler space telescope published in Nature reveals that the star Kepler-11, located 2,000 light years from Earth, has a planetary system including six planets, which range between two and four-and-a-half times the radius of Earth, and between two and thirteen times its mass. Five orbit the star closer than Mercury orbits the Sun, and all are likely to have atmospheres made of light gases, and to be too hot to support life. The data also includes details of more than 1,000 additional exoplanet candidates.[41][42]
  • 4 February – Scientists reveal a tiny artificial brain, derived from rat neurons, that exhibits 12 seconds of short-term memory.[43][44]
  • 7 February – Scientists at Oxford University successfully test a universal flu vaccine, which should work against all known strains of the illness.[45][46]
  • 9 February – Using 25 years of evidence from over 470,000 participants, researchers show that sleep deprivation and disrupted sleep patterns can have long-term, serious health implications.[47]
  • 10 February – Scientists identify the root molecular cause of a variety of illnesses brought on by advanced age, including waning energy, failure of the heart and other organs, and metabolic disorders such as diabetes.[48]
  • 11 February – Scientists show that stem cells delivered via a nasal spray lead to an improvement of motor functions in rats with Parkinson's disease-like symptoms.[49][50]
  • 15 February
  • 16 February – Researchers find a way of manipulating tiny swimming robots, just 1.3 millimetres long, using electric currents in water.[54][55]
  • 17 February
    • Scientists build the world's first anti-laser, capable of absorbing an incoming laser beam entirely.[56][57]
    • A hummingbird-like "Nano Air Vehicle" is demonstrated for the first time, in an attempt to secure a DARPA contract to create small surveillance aircraft.[58]
  • 20 February – Stanford University researchers create new stretchable solar cells that could power artificial electronic 'super skin', capable of detecting chemicals and biological molecules. The potential applications include clothing, robotics, prosthetic limbs and more.[59][60]
  • 21 February – New research indicates that bilingual speakers are better at multitasking, because they are better at editing out irrelevant information; this overturns previous assumptions of bilingualism causing confusion, especially in children.[61][62]
  • 22 February
  • 28 February

March

18 March 2011: the MESSENGER probe (artist's rendering shown) becomes the first spacecraft to orbit the planet Mercury.
27 March 2011: American scientists successfully demonstrate a fire-suppression system which uses electric fields to extinguish open flames.

April

6 April 2011: scientists in Japan grow working retinas from mouse stem cells.
21 April 2011: a modified anti-malaria gene is successfully introduced to a population of mosquitoes.

May

12 May 2011: astronomers state that the exoplanet Gliese 581d (artist's impression pictured) could potentially support Earth-like life.
26 May 2011: American scientists successfully transmute human skin cells directly into neurons (pictured).
  • 25 May
  • 26 May
  • 29 May – Human organs could be grown inside pigs for use in transplant operations, following research using stem cells. (The Telegraph) (EHGC 2001)
  • 31 May
    • A team of Chinese physicists successfully entangles eight photons simultaneously and observes them in action; the previous record was six. (arXiv)
    • Researchers have demonstrated the first true nanoscale waveguides for next generation on-chip optical communication systems; this holds potential for nanoscale photonic applications such as intra-chip optical communication, signal modulation, nanoscale lasers and bio-medical sensing.(Nat. Commun.)
    • A NASA-led research team unveils the most precise map ever produced of the carbon stored in Earth's tropical forests; the data is expected to provide a baseline for ongoing carbon monitoring and research. (PNAS)

June

1 June 2011: two new chemical elements, 114 and 116, are officially added to the periodic table.
12 June 2011: the Nabro Volcano erupts in Eritrea (ash plume pictured), despite having been considered extinct.
22 June 2011: Stanford University engineers develop nanowire electronics that can be attached to nearly any surface (gold nanowires pictured).
  • 22 June
    • A newly developed multiferroic composite of nickel, cobalt, manganese and tin can be either non-magnetic or highly magnetic, depending on its temperature, making it capable of converting heat into electricity. (PopSci) (Adv. Energy Mater.)
    • The brains of people living in cities operate differently from those in rural areas, according to a brain-scanning study. (The Guardian) (Nature)
    • Scientists demonstrate an acoustic "cloaking device" that makes objects invisible to sound waves; such acoustic cloaking was proposed theoretically in 2008, but has only this year been put into practice. (BBC) (Phys. Rev. Lett.)
    • Stanford University researchers have developed a new method of attaching nanowire electronics to the surface of virtually any object, regardless of its shape or composition. The method could be used in making everything from wearable electronics and flexible computer displays to high-efficiency solar cells and ultrasensitive biosensors.(Nano Lett.)
  • 23 June – Single-celled yeast has been observed to evolve into a multicellular organism, complete with division of labour between cells. This suggests that the evolutionary leap to multicellularity may be a surprisingly small hurdle.(New Scientist) (PNAS)
  • 24 June
  • 25 June – Stanford researchers have developed a microphone that can be used at any depth in the ocean, even under crushing pressure, and is sensitive to a wide range of sounds, from a whisper in a library to an explosion of TNT. They modeled their device after the extraordinarily acute hearing of orcas. (J. Acoust. Soc. Am.)

26 June

July

7 July 2011: Swedish surgeons successfully carry out the world's first artificial organ transplant, giving a cancer patient a new, lab-grown trachea.
16 July 2011: NASA's Dawn spacecraft successfully enters orbit around the asteroid 4 Vesta (pictured).
21 July 2011: the final mission of the Space Shuttle program, STS-135, ends with the landing of Space Shuttle Atlantis (pictured) at Kennedy Space Center.

August

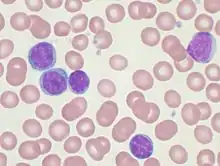
10 August 2011: a new gene therapy successfully kills off leukemia lymphocytes (pictured) in three advanced patients.
19 August 2011: the American Office of Naval Research successfully tests a new class of conventional explosive, reportedly five times more powerful than existing explosives.
  • 19 August – The US Office of Naval Research says that it has successfully tested a new type of explosive material that can dramatically increase weapons' impacts. Missiles made from the high-density substance can explode with up to five times the energy of existing explosives. (BBC)
  • 22 August – American researchers prototype a basic form of bulletproof skin, based on genetically modified silkworm threads. (Police One)
  • 23 August
    • The natural world contains about 8.7 million species, according to a new estimate described by scientists as the most accurate ever. However, the vast majority of these species have not been identified – cataloguing them all could take more than 1,000 years. (BBC) (PLoS Biol.)
    • Computer simulations suggest that violent asteroid impacts flinging life from Earth to other planets is more likely than previously thought. (BBC) (ArXiv)
  • 24 August – Antibiotics' impact on gut bacteria is permanent—and so serious in its long-term consequences that medicine should consider whether to restrict the prescription of antibiotics to pregnant women and young children, according to a new study. (Wired) (Nature)
  • 25 August – A monkey sporting a ginger beard and matching fiery red tail, discovered in a threatened region of the Brazilian Amazon, is believed to be a species new to science. (The Guardian)
  • 26 August – An atomic clock at the UK's National Physical Laboratory (NPL) has the best long-term accuracy of any clock in the world, researchers from NPL and Penn State University have found. (BBC) (Metrologia)
  • 29 August – Japanese scientists announce an innovation in wind turbine technology, the wind lens, which could triple the energy output of wind turbines, making wind energy affectively cheaper than nuclear energy. (Mother Nature Network) Archived 2011-10-31 at the Wayback Machine (Kyushu University)
  • 31 August

September

2 September 2011: scientists create a working electric motor made from a single molecule (molecular-scale computer pictured).
14 September 2011: NASA publishes the design of its future heavy-lift rocket, the Space Launch System (concept art shown).

October

12 October 2011: scientists reconstruct the genome of the Black Death which devastated Europe in the 14th century.
26 October 2011: the Boeing 787 Dreamliner, the first major airliner to significantly incorporate composite materials, completes its first commercial flight.
31 October 2011: the world population reaches seven billion, according to a United Nations estimate.
  • 28 October
    • British scientists report that a daily dose of aspirin can reduce the incidence of bowel cancer in people at high risk of the disease. (BBC) (The Lancet)
    • Human-caused climate change is already a major factor in more frequent Mediterranean droughts, according to a new study, which shows that the magnitude and frequency of drying is too great to be explained by natural variability alone. (NOAA) (J. Clim.)
    • NASA launches the NPOESS Preparatory Project – the first of its next generation of polar-orbiting satellites dedicated to gathering weather and climate data. (BBC) (NASA)
  • 29 October – CERN researchers attempt to repeat a recent experiment that apparently yielded faster-than-light neutrinos, using a more efficient system of measurement to validate their results. (The Guardian)
  • 31 October

November

4 November 2011: the MARS-500 isolation experiment (facility diagram shown) ends in Moscow, having simulated a 520-day human mission to Mars.
  • 1 November
  • 2 November
    • China's uncrewed Shenzhou 8 spacecraft robotically docks with the orbiting Tiangong-1 space station module, marking China's first orbital docking, and a major milestone in its efforts to construct a full-scale space station by 2020. (BBC)
    • American researchers delay, and in some cases even eliminate, the onset of age-related symptoms such as wrinkles, muscle wasting and cataracts in mice. The development may have significant implications for the study and treatment of such symptoms in humans. (BBC) (Nature)
    • Morocco is chosen as the first location for Desertec – a German-led, €400bn project to build a vast network of solar and windfarms across North Africa and the Middle East, with the aim of providing 15% of Europe's electricity supply by 2050. (The Guardian)
  • 4 November
    • Six men emerge from the 520-day MARS-500 isolation experiment, which aimed to simulate a human mission to Mars. The experiment, undertaken at a Moscow scientific institute, was intended to investigate the isolation of long-duration spaceflight and its effects on the human body and mind. (BBC)
    • A 20-year-old alternative solar cell design using dye-sensitized nanocrystal cells (DSC) could lead to cheap, printable cells, revolutionising solar power use worldwide, according to a new study. (KurzweilAI) (J. Am. Chem. Soc.)
  • 5 November
    • An American doctor claims that brown eyes can safely and permanently be turned blue by using short laser pulses to destroy pigment in the iris. (BBC)
    • An official White House report states that "The U.S. government has no evidence that any life exists outside our planet, or that an extraterrestrial presence has contacted or engaged any member of the human race." It furthermore asserts that there is "no credible information to suggest that any evidence is being hidden from the public's eye." Although odds are "pretty high" that there may be life on other planets, "the odds of us making contact with any of them—especially any intelligent ones—are extremely small, given the distances involved." (UniverseToday) (White House)
  • 6 November – Dopamine-producing brain cells that are killed off by Parkinson's disease have been grown from stem cells and grafted into monkeys' brains by American researchers, in a major step towards new treatments for the condition. (The Guardian) (Nature)
8 November 2011: Honda releases an enhanced version of its Asimo humanoid robot (earlier version pictured).
26 November 2011: NASA successfully launches its Mars Science Laboratory mission, which landed the Curiosity Mars rover (artist's impression pictured) on Mars in 2012.[79]

December

1 December 2011: Oxford University scientists successfully induce quantum entanglement in two diamonds, the first time entanglement has been achieved in objects visible to the naked eye.
14 December 2011: scientists develop an imaging system which can capture images at one trillion frames per second, allowing it to image the motion of individual light waves.
21 December 2011: researchers report that non-native snakes have devastated populations of small mammals in the Florida Everglades.

Prizes

Abel Prize

Nobel Prize

Deaths

11 February 2011: Christian J. Lambertsen, the inventor of the SCUBA device, dies aged 93.

January

February

March

1 March 2011: John M. Lounge, a former NASA astronaut, dies aged 64.

April

5 April 2011: Baruch Samuel Blumberg, a Nobel Prize-winning American physician, dies aged 85.

May

30 May 2011: Rosalyn Sussman Yalow, a Nobel Prize-winning American physicist, dies aged 89.

June

July

23 July 2011: Robert Ettinger, the "father of cryonics", dies aged 92.

August

September

14 September 2011: Rudolf Mössbauer, a Nobel Prize-winning German physicist, dies aged 82.

October

5 October 2011: Steve Jobs, an American technology entrepreneur and co-founder of Apple Inc., dies aged 56.

November

December

See also

References

  1. International Year of Forests 2011 – Celebrating Forests for People. Retrieved 1 November 2011.
  2. International Year of Chemistry 2011 – About IYC Archived 2011-10-08 at the Wayback Machine. Retrieved 1 November 2011.
  3. "Move to market cancer breakthrough". Belfast Telegraph. 2011-01-04. Archived from the original on 2012-10-19.
  4. Roberts, Genevieve (2011-01-04). "New blood test can target one cancer cell in a billion". The Independent. Retrieved 2023-07-09.
  5. "Baldness Cure Rooted in Stem Cells, Study Suggests". Fox News. 2011-01-05. Retrieved 2023-07-09.
  6. Garza, Luis A.; et al. (2011-02-01). "Bald scalp in men with androgenetic alopecia retains hair follicle stem cells but lacks CD200-rich and CD34-positive hair follicle progenitor cells". Journal of Clinical Investigation. American Society for Clinical Investigation. 121 (2): 613–622. doi:10.1172/jci44478. ISSN 0021-9738. PMC 3026732. PMID 21206086.
  7. Kotter, D. K.; et al. (2010-01-05). "Theory and Manufacturing Processes of Solar Nanoantenna Electromagnetic Collectors". Journal of Solar Energy Engineering. ASME International. 132 (1). doi:10.1115/1.4000577. ISSN 0199-6231.
  8. The article was published in the March 3 issue of the journal.
  9. "Study: ESP May Be Real - CBS News". The Early Show. 2011-01-18. Archived from the original on 2011-01-19. Retrieved 2023-07-09.
  10. "ESP Study Gets Published in Scientific Journal". ABC News. 2011-01-06. Retrieved 2023-07-09.
  11. Bem, Daryl J. (2011). "Feeling the future: Experimental evidence for anomalous retroactive influences on cognition and affect". Journal of Personality and Social Psychology. American Psychological Association (APA). 100 (3): 407–425. doi:10.1037/a0021524. ISSN 1939-1315. PMID 21280961. S2CID 1961013.
  12. Palmer, Jason (2011-01-10). "Rocky exoplanet milestone in hunt for Earth-like worlds". BBC News. Retrieved 2023-07-09.
  13. "NASA'S Kepler Mission Discovers Its First Rocky Planet". Brian Dunbar. 2011-01-11. Retrieved 2023-07-09.
  14. Batalha, Natalie M.; et al. (2011-02-07). "KEPLER'S FIRST ROCKY PLANET: KEPLER-10b". The Astrophysical Journal. American Astronomical Society. 729 (1): 27. arXiv:1102.0605. Bibcode:2011ApJ...729...27B. doi:10.1088/0004-637x/729/1/27. ISSN 0004-637X. S2CID 55059000.
  15. (MSNBC)
  16. Dickinson, Kacie M; et al. (2011). "Endothelial function is impaired after a high-salt meal in healthy subjects". The American Journal of Clinical Nutrition. Elsevier BV. 93 (3): 500–505. doi:10.3945/ajcn.110.006155. ISSN 0002-9165. PMID 21228265.
  17. Seppa, Nathan (2011-01-16). "Tongue Piercings Worse With Metal - Science News". sciencenews.org. Archived from the original on 2011-01-16. Retrieved 2023-07-09.
  18. Kapferer, Ines; et al. (2011). "Tongue Piercing: The Effect of Material on Microbiological Findings". Journal of Adolescent Health. Elsevier BV. 49 (1): 76–83. doi:10.1016/j.jadohealth.2010.10.008. ISSN 1054-139X. PMID 21700161.
  19. "Smoking 'causes damage in minutes', US experts claim". BBC News. 2011-01-16. Retrieved 2023-07-09.
  20. Zhong, Yan; et al. (2010-12-27). "Immediate Consequences of Cigarette Smoking: Rapid Formation of Polycyclic Aromatic Hydrocarbon Diol Epoxides". Chemical Research in Toxicology. American Chemical Society. 24 (2): 246–252. doi:10.1021/tx100345x. ISSN 0893-228X. PMC 3042042. PMID 21184614.
  21. Gill, Victoria (2011-01-18). "Sharks are probably colour-blind". BBC. Retrieved 2023-07-09.
  22. Hart, Nathan Scott; et al. (2011-01-07). "Microspectrophotometric evidence for cone monochromacy in sharks". Naturwissenschaften. Springer Science and Business Media LLC. 98 (3): 193–201. Bibcode:2011NW.....98..193H. doi:10.1007/s00114-010-0758-8. ISSN 0028-1042. PMID 21212930. S2CID 30148811.
  23. "Male subfertility helped by antioxidants says research". BBC News. 2011-01-19. Retrieved 2023-07-09.
  24. Showell, Marian G; et al. (2011-01-19), "Antioxidants for male subfertility", in Showell, Marian G. (ed.), Cochrane Database of Systematic Reviews, Chichester, UK: John Wiley & Sons, Ltd, pp. CD007411, doi:10.1002/14651858.cd007411.pub2, hdl:2066/202846, PMID 21249690
  25. Hill, Brandon (2011-01-31). "New Technique Renders T-Cells Resistant to HIV". DailyTech. Archived from the original on 2011-06-17. Retrieved 2023-07-09.
  26. Chono, Hideto; et al. (2011). "Acquisition of HIV-1 Resistance in T Lymphocytes Using an ACA-SpecificE. colimRNA Interferase". Human Gene Therapy. Mary Ann Liebert Inc. 22 (1): 35–43. doi:10.1089/hum.2010.001. ISSN 1043-0342. PMID 20649483.
  27. "2010 record temperature". wmo.int. 2011-12-31. Archived from the original on 2011-04-23. Retrieved 2023-07-09.
  28. Simmons, Stephanie; et al. (2011-01-19). "Entanglement in a solid-state spin ensemble". Nature. Springer Science and Business Media LLC. 470 (7332): 69–72. arXiv:1010.0107. Bibcode:2011Natur.470...69S. doi:10.1038/nature09696. ISSN 0028-0836. PMID 21248751. S2CID 4322097.
  29. Amos, Jonathan (2011-01-21). "Fossil female pterosaur found with preserved egg". BBC News. Retrieved 2023-07-09.
  30. Lü, Junchang; et al. (2011-01-21). "An Egg-Adult Association, Gender, and Reproduction in Pterosaurs". Science. American Association for the Advancement of Science. 331 (6015): 321–324. Bibcode:2011Sci...331..321L. doi:10.1126/science.1197323. ISSN 0036-8075. PMID 21252343. S2CID 206529739.
  31. "Researchers find smoking gun of world\'s biggest extinctionWorld leading higher education information and services". World leading higher education information and services. 2011-01-24. Retrieved 2023-07-09.
  32. Grasby, Stephen E.; et al. (2011-01-23). "Catastrophic dispersion of coal fly ash into oceans during the latest Permian extinction". Nature Geoscience. Springer Science and Business Media LLC. 4 (2): 104–107. Bibcode:2011NatGe...4..104G. doi:10.1038/ngeo1069. ISSN 1752-0894.
  33. Bowdler, Neil (2011-01-25). "Two-clawed and parrot-sized: new T.rex cousin unveiled". BBC News. Retrieved 2023-07-09.
  34. Xu, Xing; et al. (2011-01-24). "A monodactyl nonavian dinosaur and the complex evolution of the alvarezsauroid hand". Proceedings of the National Academy of Sciences. 108 (6): 2338–2342. Bibcode:2011PNAS..108.2338X. doi:10.1073/pnas.1011052108. ISSN 0027-8424. PMC 3038769. PMID 21262806.
  35. Segall, Laurie (2011-01-24). "This 3D printer makes edible food". -. Retrieved 2023-07-09.
  36. "Europe Moves to Recycle Rare Earths". The New York Times. 2011-01-27. Retrieved 2023-07-09.
  37. Radisavljevic, B.; et al. (2011-01-30). "Single-layer MoS2 transistors". Nature Nanotechnology. Springer Science and Business Media LLC. 6 (3): 147–150. Bibcode:2011NatNa...6..147R. doi:10.1038/nnano.2010.279. ISSN 1748-3387. PMID 21278752.
  38. "SLAC National Accelerator Laboratory Bold people. Visionary science. Real impact". SLAC National Accelerator Laboratory. 2023-04-13. Retrieved 2023-07-09.
  39. McGilchrist, Sonya (2011-02-03). "Blood test for vCJD 'could identify carriers'". BBC News. Retrieved 2023-07-09.
  40. Edgeworth, Julie Ann; et al. (2011). "Detection of prion infection in variant Creutzfeldt-Jakob disease: a blood-based assay". The Lancet. Elsevier BV. 377 (9764): 487–493. doi:10.1016/s0140-6736(10)62308-2. ISSN 0140-6736. PMID 21295339. S2CID 39891588.
  41. Palmer, Jason (2011-02-02). "Six exoplanets in close orbit around far-flung star". BBC News. Retrieved 2023-07-09.
  42. Lissauer, Jack J.; et al. (2011). "A closely packed system of low-mass, low-density planets transiting Kepler-11". Nature. Springer Science and Business Media LLC. 470 (7332): 53–58. arXiv:1102.0291. Bibcode:2011Natur.470...53L. doi:10.1038/nature09760. ISSN 0028-0836. PMID 21293371. S2CID 4388001.
  43. Dillow, Clay (2011-06-02). "Scientists Create Tiny Artificial Brain That Exhibits 12 Seconds of Short Term Memory". Popular Science. Retrieved 2023-07-09.
  44. Vishwanathan, Ashwin; et al. (2011). "Ring-shaped neuronal networks: a platform to study persistent activity". Lab on a Chip. Royal Society of Chemistry. 11 (6): 1081–1088. doi:10.1039/c0lc00450b. ISSN 1473-0197. PMID 21293826.
  45. Jha, Alok (2011-02-06). "Flu breakthrough promises a vaccine to kill all strains". the Guardian. Retrieved 2023-07-09.
  46. Berthoud, T. K.; et al. (2011-01-01). "Potent CD8+ T-Cell Immunogenicity in Humans of a Novel Heterosubtypic Influenza A Vaccine, MVA-NP+M1". Clinical Infectious Diseases. Oxford University Press. 52 (1): 1–7. doi:10.1093/cid/ciq015. ISSN 1058-4838. PMC 3060888. PMID 21148512.
  47. Cappuccio, Francesco P.; et al. (2011-02-07). "Sleep duration predicts cardiovascular outcomes: a systematic review and meta-analysis of prospective studies". European Heart Journal. Oxford University Press. 32 (12): 1484–1492. doi:10.1093/eurheartj/ehr007. ISSN 1522-9645. PMID 21300732.
  48. Sahin, Ergün; et al. (2011-02-09). "Telomere dysfunction induces metabolic and mitochondrial compromise". Nature. Springer Science and Business Media LLC. 470 (7334): 359–365. Bibcode:2011Natur.470..359S. doi:10.1038/nature09787. ISSN 0028-0836. PMC 3741661. PMID 21307849.
  49. "Stem Cells Delivered in Nasal Spray Ease Parkinson's Disease Symptoms in Rats". Neuroscience News. 2011-02-09. Retrieved 2023-07-09.
  50. Danielyan, Lusine; et al. (2011). "Therapeutic Efficacy of Intranasally Delivered Mesenchymal Stem Cells in a Rat Model of Parkinson Disease". Rejuvenation Research. Mary Ann Liebert Inc. 14 (1): 3–16. doi:10.1089/rej.2010.1130. ISSN 1549-1684. PMID 21291297.
  51. "Watson Supercomputer Terminates Humans in First Jeopardy Round". WIRED. 2011-02-16. Retrieved 2023-07-09.
  52. "Medical Daily: Simple chemical cocktail shows first promise for limb re-growth in mammals". medicaldaily.com. 2011-07-23. Archived from the original on 2011-07-23. Retrieved 2023-07-09.
  53. Jung, Da-Woon; et al. (2011-02-28). "Novel Chemically Defined Approach To Produce Multipotent Cells from Terminally Differentiated Tissue Syncytia". ACS Chemical Biology. American Chemical Society. 6 (6): 553–562. doi:10.1021/cb2000154. ISSN 1554-8929. PMID 21322636.
  54. "One Per Cent: Microbots made to twist and turn as they swim". newscientist.com. 2011-02-16. Archived from the original on 2011-02-18. Retrieved 2023-07-09.
  55. Sharma, Rachita; Velev, Orlin (2011-03-25). "Remote Powering and Steering of Self-Propelling Microdevices by Modulated Electric Field". Bulletin of the American Physical Society. American Physical Society. 56 (1). Bibcode:2011APS..MAR.Y9003S. Retrieved 2023-07-09.
  56. "Scientists build the world's first anti-laser". BBC News. 2011-02-17. Retrieved 2023-07-09.
  57. Wan, Wenjie; et al. (2011-02-18). "Time-Reversed Lasing and Interferometric Control of Absorption". Science. American Association for the Advancement of Science. 331 (6019): 889–892. Bibcode:2011Sci...331..889W. doi:10.1126/science.1200735. ISSN 0036-8075. PMID 21330539. S2CID 206531272.
  58. "News & Events". AeroVironment, Inc. 2023-06-26. Retrieved 2023-07-09.
  59. University, Stanford (2023-01-23). "You've requested a page that no longer exists". Stanford News. Retrieved 2023-07-09.
  60. "Abstract: Organic Materials-Based Flexible Electronic Sensors (2011 AAAS Annual Meeting (17-21 February 2011))". aaas.confex.com. 2011-02-21. Retrieved 2023-07-09.
  61. "Juggling languages can build better brains". Penn State Live. 2011-02-21. Archived from the original on 2011-02-21. Retrieved 2023-07-09.
  62. "Abstract: The Bilingual Is a Mental Juggler: Behavioral and Electrophysiological Evidence (2011 AAAS Annual Meeting (17-21 February 2011))". aaas.confex.com. 2011-02-21. Retrieved 2023-07-09.
  63. eecs.umich.edu (PDF). 2011-05-24 https://web.archive.org/web/20110524221835/http://www.eecs.umich.edu/wics/publications/Huang_ISSCC2011.pdf. Archived from the original (PDF) on 2011-05-24. Retrieved 2023-07-09. {{cite web}}: Missing or empty |title= (help)
  64. Team, Technology Review Web Development (2011-02-24). "Physicists Discover Quantum Law of Protein Folding". Technology Review. Archived from the original on 2011-02-24. Retrieved 2023-07-09.
  65. Luo, Liaofu; Lu, Jun (2011). "Temperature Dependence of Protein Folding Deduced from Quantum Transition". arXiv:1102.3748 [q-bio.BM].
  66. Team, Technology Review Web Development (2011-02-27). "The First Full-Color Display with Quantum Dots". Technology Review. Archived from the original on 2011-02-27. Retrieved 2023-07-09.
  67. Kim, Tae-Ho; et al. (2011-02-20). "Full-colour quantum dot displays fabricated by transfer printing". Nature Photonics. Springer Science and Business Media LLC. 5 (3): 176–182. Bibcode:2011NaPho...5..176K. doi:10.1038/nphoton.2011.12. ISSN 1749-4885.
  68. Schroers, Jan; et al. (2011). "Thermoplastic blow molding of metals". Materials Today. Elsevier BV. 14 (1–2): 14–19. doi:10.1016/s1369-7021(11)70018-9. ISSN 1369-7021.
  69. "(TechReview)". Archived from the original on 2011-03-17. Retrieved 2011-03-07.
  70. RFC 6189. Zimmermann, Phil (2010-06-17). "Internet-Draft. ZRTP: Media Path Key Agreement for Unicast Secure RTP". Retrieved 2010-06-17.
  71. Himmelstein, Daniel S; Romero, Ariel Rodriguez; Levernier, Jacob G; Munro, Thomas Anthony; McLaughlin, Stephen Reid; Greshake Tzovaras, Bastian; Greene, Casey S (2018). "Sci-Hub provides access to nearly all scholarly literature". eLife. 7. doi:10.7554/eLife.32822. ISSN 2050-084X. PMC 5832410. PMID 29424689.
  72. Bohannon, John (28 April 2016). "Who's downloading pirated papers? Everyone". Science. 352 (6285): 508–512. doi:10.1126/science.aaf5664. PMID 27126020.
  73. The paper was presented at the CLEO conference on 2 May, and published on 9 May.
  74. Wolchover, Natalie (2012-08-30). "'Mysterious' Baltic Sea Object Is a Glacial Deposit". Livescience.com. Retrieved 2020-01-25.
  75. "Neptune Completes First Orbit Since Its Discovery in 1846". Space.com. 12 July 2011.
  76. Callaway, Ewen (2011). "Report finds massive fraud at Dutch universities". Nature. 479 (7371): 15. Bibcode:2011Natur.479...15C. doi:10.1038/479015a. PMID 22051650. S2CID 205068182.
  77. "Bionic contact lens 'to project emails before eyes'". BBC News. 2011-11-22. Retrieved 2023-02-16.
  78. Kinnard, Christophe; Zdanowicz, Christian M.; Fisher, David A.; Isaksson, Elisabeth; De Vernal, Anne; Thompson, Lonnie G. (23 November 2011). "Reconstructed changes in Arctic sea ice over the past 1,450 years". Nature. 479 (7374): 509–512. Bibcode:2011Natur.479..509K. doi:10.1038/nature10581. PMID 22113692. S2CID 205226790.
  79. 1 2 "Nasa's Curiosity rover successfully lands on Mars". BBC. 6 August 2012.
  80. Budin, Itay; Devaraj, Neal K. (December 29, 2011). "Membrane Assembly Driven by a Biomimetic Coupling Reaction". Journal of the American Chemical Society. 134 (2): 751–753. doi:10.1021/ja2076873. PMC 3262119. PMID 22239722.
  81. Staff (January 26, 2012). "Chemists create artificial cell membrane". kurzweilai.net. Archived from the original on January 28, 2012. Retrieved February 18, 2012.
  82. Dr. James J. Rahal, 77, Virus Expert, Dies
  83. Rudiger 'Roger' Haugwitz, chemist who used science to create art, dies at 79. Washingtonpost.com. Retrieved on 2011-10-10.
  84. Harold Kosasky, 83, pioneer in treatment of infertility. Boston Globe, 26 September 2011. Retrieved 2011-11-19.
  85. Dr. Max Harry Weil dies at 84: pioneer in critical care. Articles.latimes.com (2011-08-06). Retrieved on 2011-10-10.
  86. Dr. Charles C. Edwards, Influential F.D.A. Commissioner, Dies at 87
  87. Fritz Bach, Who Aided Transplant Survival, Dies at 77
  88. William Kannel, 87; force behind pioneering Framingham Heart Study. Boston.com (2011-09-18). Retrieved on 2011-10-10.
  89. W. B. Kannel, Who Led Historic Heart Study, Dies at 87. Nytimes.com (2011-08-23). Retrieved on 2011-10-10.
  90. Dr. William Wolff, Colonoscopy Co-Developer, Dies at 94
  91. Bruce Dan, Who Helped Link Toxic Shock and Tampons, Is Dead at 64. The New York Times, 10 September 2011. Retrieved 2011-11-03.
  92. Dr. Richard Koch dies at 89; medical pioneer. Los Angeles Times, 8 October 2011. Retrieved 2011-11-03.
  93. Dr. J. Willis Hurst, Cardiologist to Lyndon B. Johnson, Dies at 90
  94. Morris Chafetz, 87, Dies; Altered View of Alcoholism
  95. Dr. John F. Burke, Dies at 89; Created Synthetic Skin
  96. "T. Franklin Williams, Early Geriatric Specialist, Dies at 90". The New York Times, 3 December 2011. Retrieved 2011-12-08.
This article is issued from Wikipedia. The text is licensed under Creative Commons - Attribution - Sharealike. Additional terms may apply for the media files.