polycythemia vera

English

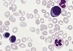
Wright-Giemsa stain of a blood smear from a PV-patient with myeloid metaplasia, showing three red blood cell precursors and slight to moderate anisopoikilocytosis

Alternative forms

  • polycythaemia vera

Etymology

from Latin poly-("many") + cyt-("cells") + -emia("condition in the blood") + vera

Pronunciation

  • IPA(key): /ˌpɒlɪsaɪˈθiːmɪə ˈvɪəɹə/

Noun

polycythemia vera (uncountable)

  1. A neoplasm of bone marrow in which too many red blood cells are produced, usually along with white blood cells and platelets.

Synonyms

  • PV, PCV (initialisms)
  • erythremia, primary polycythemia, polycythemia rubra vera (PRV)
  • Vaquez disease, Osler-Vaquez disease
This article is issued from Wiktionary. The text is licensed under Creative Commons - Attribution - Sharealike. Additional terms may apply for the media files.