Sarcocystis
Translingual

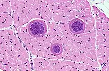
Sarcocystis hominis tissue cyst in beef tongue
Etymology
New Latin, from Ancient Greek σάρξ (sárx, “flesh”) + κύστις (kústis, “bladder, pouch”).
Proper noun
Sarcocystis f
- A taxonomic genus within the family Sarcocystidae – certain parasitic chromists.
Hypernyms
- (genus): Eukaryota - superkingdom; Chromista - kingdom; Harosa - subkingdom; Halvaria - infrakingdom; Alveolata - superphylum; Miozoa - phylum; Myzozoa - subphylum; Apicomplexa - infraphylum; Conoidasida - class; Coccidia - subclass; Eucoccidiorida - order; Eimeriorina - suborder; Sarcocystidae - family
Hyponyms
- (genus): Sarcocystis hominis - selected species
Derived terms
References
Sarcocystis on Wikipedia.Wikipedia
Sarcocystis on Wikispecies.Wikispecies
Sarcocystis on Wikimedia Commons.Wikimedia Commons - Sarcocystis at National Center for Biotechnology Information
This article is issued from Wiktionary. The text is licensed under Creative Commons - Attribution - Sharealike. Additional terms may apply for the media files.