< Fundamentals of Neuroscience
Type classification: this is a lesson resource.
Subject Classification: this is a neuroscience resource.

Goals

  • To learn how the brain can be injured and what the functional consequences of injury can be
  • To learn potential and existing treatments for patients with neurological damage

Traumatic Brain Injury

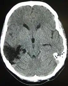
The region in black is the cavity left by the death of neurons after an injury. Such cavities can remain for years following injury.

Blunt force injuries sustained to the head also damage the brain as traumatic brain injuries. These injuries vary widely in severity and consequences, but many commonly produce substantial cognitive problems up to and including full-on dementia, and, especially if no medical intervention is received, can often prove fatal. Traumatic brain injury can be caused both by wounds that fracture the skull and by mere concussive force due to the brain impacts the front and back of the skull following a sudden large force, such as the head hitting a stationary object in front of it during a car accident.

After a patient who has suffered a traumatic brain injury arrives for emergency medical attention, one of the first areas for concern is brain swelling. If unchecked, this swelling can restrict blood flow enough to be deadly in a worst case, or at least cause further damage and worsen side effects such as dizziness, confusion, or amnesia. After the acute phase of treatment, treatment becomes oriented toward addressing the long-lasting side effects of traumatic brain injury. Individuals may require rehabilitation to regain lost motor and cognitive abilities, although often effects may continue to be long-lasting or even permanent.

Many complications can arise after neurological trauma, especially if such trauma is repeated. Paralysis and comas are some of the more severe consequences of heavy or repeated brain injury. Notable psychological risks are also present, with patients who have histories of traumatic brain injuries (including just one incident) having greatly elevated risks for many mental disorders, most commonly seizures. Even if the issues arising do not qualify as a full disorder, more subtle problems can arise including intellectual difficulties and declines in memory.

An example of one cause of stroke, due to clogging of an artery. The darkened area on top of the brain are the regions deprived of oxygen.

Stroke

One of the top causes of death worldwide, strokes are disruptions of the blood supply to the brain. These disruptions can be triggered by a variety of ways, the most common of which are the rupturing of an artery (or hemorrhage), or blockages, which may either by from clots or other obstructions. Whatever the immediate cause, obstruction of the vascular system delivering blood to the brain can quickly lead to the death of cells in the affected areas. Like traumatic brain injury, the exact symptoms and consequences of a stroke depends on the region most affected, however there are some common characteristics. Paralysis or weakness on one side of the body- usually manifested in slurring of speech or drooping of the face- is very common since usually the blocked artery will be responsible for delivering blood to one specific brain hemisphere.

If medical attention is not administered quickly enough or if the stroke is severe enough, the damage to the brain may be permanent and can easily cause coma, paralysis, or death. Even if these more extreme consequences are avoided, in many cases the brain is unable to make a full recovery of the injured region and thus cognitive and functional deficits may remain. These can be seen in difficulties in coordinating fluid movement, psychological changes, or trouble with speech. Most of these areas however are at least somewhat amenable to therapy and may be recovered provided the damage was not too severe.

Several experimental therapies are being investigated or are already in place that address the challenges surrounding treating a patient who has experienced a stroke. Some are acute treatments aimed at clearing the obstruction in the arteries to get blood returning as quickly as possible and thus minimize cell death and the functional problems resulting from it, while others are rehabilitation regimens that try to restore lost capabilities. Although neuronal death can in many cases be slowed, there still does not exist any completely effective therapy for recovering lost brain areas in the case of severe strokes.

This article is issued from Wikiversity. The text is licensed under Creative Commons - Attribution - Sharealike. Additional terms may apply for the media files.