ALLOYS
Plate
![]() |
|
![]() |
|
![]() |
| ALLOYS. | ALLOYS. | ALLOYS. | ||
|
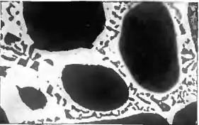
Fig. 1.—(Heycock & Neville, Phil. Trans.) Bronze containing 23.3% of tin. Slowly cooled. Magnified 18 diameters. Dark parts are rich in copper, light parts in tin. |
Fig. 2.—(Ewing & Rosenhain, Phil. Trans.) Lead-tin eutectic. Magnified 750 diameters. |
Fig. 3.—(F. Osmond.) Silver-copper [copper=15%, silver=85%] reheated to purple colour. Magnified 600 diameters. |
||
![]() |
![]() |
![]() |
||
|
ALLOYS. |
GUN-MAKING. |
GUN-MAKING. |
||
|
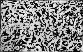
Fig. 4.—(Heycock & Neville, Phil. Trans.) Copper-tin [tin 27.7%] chilled at 731° C. before complete solidification. Magnified 18 diameters. Blacks rich, whites less rich in copper. |
Fig. 5.—Gun steel, C.=0.30%. From top of ingot as cast, magnified 29 diameters. Whites, ferrite; blacks, carbide. |
Fig. 6.—Gun steel, C.=0.30%. From bottom of ingot as cast, magnified 29 diameters. Whites, ferrite; blacks, carbide. |
||
![]() |
![]() |
![]() |
||
| GUN-MAKING. | GUN-MAKING. | GUN-MAKING. | ||
|
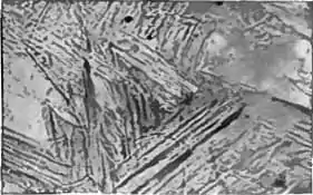
Fig. 7.—Gun steel, C.=0.30%. Top of ingot, forged and annealed, magnified 29 diameters. Whites, ferrite; blacks, carbide. |
Fig. 8.—Gun steel, C.=0.30%. Bottom of ingot, forged and annealed, magnified 29 diameters. Whites, ferrite; blacks, carbide. |
Fig. 9.—Gun steel, C.=0.30%. Forged and annealed, magnified 1000 diameters, showing pearlite. |
||
![]() |
![]() |
![]() |
||
|
GUN-MAKING. |
IRON AND STEEL. |
IRON AND STEEL. |
||
|
Fig. 10.—Gun steel, C. = 0.30%. Oil hardened and annealed, magnified 50 diameters. |
Fig. 11.—(Osmond.) Pearlite, steel (carbon about 1%) forged and annealed at 800° C. Magnified 1000 diameters. |
Fig. 12.—(Stoughton.) Meshes of pearlite in a network of ferrite, from hypo-eutectoid steel. Magnified 250 diameters. |
||
![]() |
![]() |
![]() |
||
| IRON AND STEEL. | IRON AND STEEL. | IRON AND STEEL. | ||
|
Fig. 13.—(Stoughton.) Meshes of pearlite in a network of cementite from hyper-eutectoid steel. Magnified 250 diameters. |
Fig. 14.—(Osmond & Cartaud.) Martensite. Magnified 250 diameters. |
Fig. 15.—(Osmond.) Martensite (black) in austensite (white). Steel (carbon about 1.5%) quenched at 1050° C. in ice-cold water. Magnified 250 diameters. |
||
|
PHOTOMICROGRAPHS OF ALLOYS AND METALS. (See Articles Metallography, Alloys, Gun-making, Iron and Steel.) | ||||














