Twiddler's syndrome
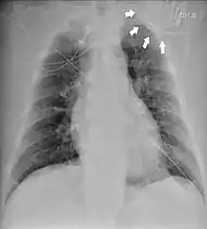
Chest radiograph showing twiddler's syndrome. The leads of the automated external defibrillator are wrapped around the device and can't be seen in the ventricle.
SpecialtyCardiology

Twiddler's syndrome is a malfunction of a pacemaker due to manipulation of the device and the consequent dislodging of the leads from their intended location. As the leads move, they stop pacing the heart and can cause strange symptoms such as phrenic nerve stimulation resulting in abdominal pulsing or brachial plexus stimulation resulting in rhythmic arm twitching.[1] Twiddler's syndrome in patients with an implanted defibrilator may lead to inadequate, painful defibrillation-shocks.[2]

References

  1. Bayliss C, Beanlands D.S., et al. (August 1968). "The pacemaker-twiddler's syndrome: a new complication of implantable transvenous pacemakers". Canadian Medical Association Journal. 99 (8): 371–373. PMC 1924435. PMID 4952398.
  2. Asbach, Stefan; Brunner, Michael; Zehender, Manfred; Bode, Christoph; Faber, Thomas S. (December 2005). "Multiple inappropriate defibrillator discharges due to Twiddler's syndrome". Wiener klinische Wochenschrift. 117 (23–24): 801. doi:10.1007/s00508-005-0480-2. ISSN 0043-5325. PMID 16437315. S2CID 21854403.
This article is issued from Wikipedia. The text is licensed under Creative Commons - Attribution - Sharealike. Additional terms may apply for the media files.