Acral lentiginous melanoma
SpecialtyOncology, dermatology Edit this on Wikidata
SymptomsAreas of dark pigmentation [1]
CausesMalignant melanocytes[2][3]
Diagnostic methodBiopsy[4]
TreatmentBiologic immunotherapy agents[5]

Acral lentiginous melanoma is an aggressive type of skin cancer. Melanoma is a group of serious skin cancers that arise from pigment cells (melanocytes); acral lentiginous melanoma is a kind of lentiginous[6] skin melanoma.[7][8] Acral lentiginous melanoma is the most common subtype in people with darker skins and is rare in people with lighter skin types. It is not caused by exposure to sunlight or UV radiation, and wearing sunscreen does not protect against it. Acral lentiginous melanoma is commonly found on the palms, soles, under the nails, and in the oral mucosa. It occurs on non-hair-bearing surfaces of the body, which have not necessarily been exposed to sunlight. It is also found on mucous membranes.[9]

The absolute incidence of ALM is the same for people of all skin colors, and has not changed significantly for decades.[9] However, because rates of other melanomas are low in non-white populations, ALM is the most common form of melanoma diagnosed amongst Asian and sub-Saharan African ethnic groups.[10] The average age at diagnosis is between sixty and seventy years.[11]

Signs and symptoms

Typical signs of acral lentiginous melanoma include the following [1]

  • Longitudinal tan, black, or brown streak on a nail
  • Pigmentation of proximal nail fold
  • Areas of dark pigmentation (palms of hands)

Warning signs are new areas of pigmentation, or existing pigmentation that shows change. If caught early, acral lentiginous melanoma has a similar cure rate as the other types of superficial spreading melanoma.[12]

Causes

Acral lentiginous melanoma is a result of malignant melanocytes at the membrane of the skin (outer layers).[2][3] The pathogenesis of acral lentiginous melanoma remains unknown at this time.[13] It is not caused by sunlight or UV radiation.[9]

Diagnosis

Although the ideal method of diagnosis of melanoma is complete excisional biopsy,[14] alternatives may be required according to the location of the melanoma. Dermatoscopy of acral pigmented lesions is very difficult but can be accomplished with diligent focus. Initial confirmation of the suspicion can be done with a small wedge biopsy or small punch biopsy.[4] Thin deep wedge biopsies can heal very well on acral skin, and small punch biopsies can give enough clue to the malignant nature of the lesion. Once this confirmatory biopsy is done, a second complete excisional skin biopsy can be performed with a narrow surgical margin (1 mm). This second biopsy will determine the depth and invasiveness of the melanoma,[15] and will help to define what the final treatment will be. If the melanoma involves the nail fold and the nail bed, complete excision of the nail unit might be required. Final treatment might require wider excision (margins of 0.5 cm or more), digital amputation, lymphangiogram with lymph node dissection, or chemotherapy.[16]

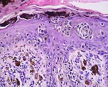
Histology

Acral lentiginous melanoma (ALM)

The main characteristic of acral lentiginous melanoma is continuous proliferation of atypical melanocytes at the dermoepidermal junction.[17] Other histological signs of acral lentiginous melanoma include dermal invasion and desmoplasia.[18]

According to Scolyer et al.,[19] ALM "is usually characterized in its earliest recognisable form as single atypical melanocytes scattered along the junctional epidermal layer".

Treatment

Therapies for metastatic melanoma include the biologic immunotherapy agents ipilimumab, pembrolizumab, and nivolumab; BRAF inhibitors, such as vemurafenib and dabrafenib; and a MEK inhibitor trametinib.[5]

When arising in the nailbed of a digit, the evidence suggests that digit-sparing surgery (wide excision and grafting) has similar outcomes to amputation,[20] therefore, to preserve function it is recommended that clinicians default to digit-sparing surgery and if the margins are involved or patients develop recurrence, then secondary amputation can be considered.

Prognosis

It has been demonstrated that acral lentiginous melanoma has a poorer prognosis compared to that of cutaneous malignant melanoma (CMM).[21]

Society and culture

Jamaican musician Bob Marley died of the condition in 1981, at the age of 36.[22]

See also

References

  1. 1 2 Goodheart, Herbert P. (2010-10-25). Goodheart's Same-site Differential Diagnosis: A Rapid Method of Diagnosing and Treating Common Skin Disorders. Lippincott Williams & Wilkins. ISBN 9781605477466.
  2. 1 2 Brown, Kimberly M.; Chao, Celia (2014). Melanoma. Elsevier Health Sciences. ISBN 9780323326834.
  3. 1 2 Piliang, Melissa Peck (June 2011). "Acral Lentiginous Melanoma". Clinics in Laboratory Medicine. 31 (2): 281–288. doi:10.1016/j.cll.2011.03.005. PMID 21549241.   via ScienceDirect (Subscription may be required or content may be available in libraries.)</
  4. 1 2 ChB, David E. Elder MB; PhD, Sook Jung Yun MD (2014-11-10). Superficial Melanocytic Pathology. Demos Medical Publishing. ISBN 9781620700235.
  5. 1 2 Maverakis E, Cornelius LA, Bowen GM, Phan T, Patel FB, Fitzmaurice S, He Y, Burrall B, Duong C, Kloxin AM, Sultani H, Wilken R, Martinez SR, Patel F (2015). "Metastatic melanoma - a review of current and future treatment options". Acta Derm Venereol. 95 (5): 516–524. doi:10.2340/00015555-2035. PMID 25520039.
  6. Phan, A.; Touzet, S.; Dalle, S.; Ronger‐Savlé, S.; Balme, B.; Thomas, L. (2007). "Acral lentiginous melanoma: histopathological prognostic features of 121 cases". British Journal of Dermatology. 157 (2): 311–318. doi:10.1111/j.1365-2133.2007.08031.x. ISSN 1365-2133. PMID 17596173. S2CID 40412082.
  7. James, William D.; Berger, Timothy G.; et al. (2006). Andrews' Diseases of the Skin: clinical Dermatology. Saunders Elsevier. ISBN 978-0-7216-2921-6.
  8. "acral-lentiginous melanoma". Retrieved 2015-05-23.
  9. 1 2 3 LeBoit, Philip E. (2006). Pathology and Genetics of Skin Tumours. IARC. ISBN 9789283224143.
  10. Farage, Miranda A. (2010-01-22). Textbook of Aging Skin. Springer Science & Business Media. ISBN 9783540896555.
  11. Swartz, Mark H. (2014-01-07). Textbook of Physical Diagnosis: History and Examination. Elsevier Health Sciences. ISBN 9780323225076.
  12. Hearing, Vincent J.; Leong, Stanley P. L. (2007-11-05). From Melanocytes to Melanoma: The Progression to Malignancy. Springer Science & Business Media. ISBN 9781592599943.
  13. ChB, David E. Elder, MB; PhD, Sook Jung Yun, MD (2014-11-10). Superficial Melanocytic Pathology. Demos Medical Publishing. p. 119. ISBN 9781617051869. Retrieved 11 October 2016.{{cite book}}: CS1 maint: multiple names: authors list (link)
  14. Shea, Christopher R.; Reed, Jon A.; Prieto, Victor G. (2014-11-03). Pathology of Challenging Melanocytic Neoplasms: Diagnosis and Management. Springer. ISBN 9781493914449.
  15. Barnhill, Raymond L.; Piepkorn, Michael; Busam, Klaus J. (2014-02-18). Pathology of Melanocytic Nevi and Melanoma. Springer Science & Business Media. ISBN 9783642383854.
  16. Clarke, Loren E.; Clarke, Jennie T.; Helm, Klaus F. (2014-03-01). Color Atlas of Differential Diagnosis in Dermatopathology. JP Medical Ltd. ISBN 9789350908457.
  17. Piliang, Melissa Peck (2009). "Acral Lentiginous Melanoma". Surgical Pathology Clinics. 2 (3): 535–541. doi:10.1016/j.path.2009.08.005. ISSN 1875-9181. PMID 26838538.
  18. Mooi, Walter; Krausz, Thomas (2007-09-28). Pathology of Melanocytic Disorders 2ed. CRC Press. ISBN 9781444113808.
  19. "FEBS Press". doi:10.1002/(ISSN)1878-0261. Archived from the original on 2021-08-31. Retrieved 2015-05-23.
  20. Hardie, Claire M.; Wade, Ryckie G.; Wormald, Justin C. R.; Stafford, Brian; Elliott, Faye; Newton‐Bishop, Julia; Dewar, Donald (2023). "Surgical excision methods for skin cancer involving the nail unit: A systematic review". Cochrane Evidence Synthesis and Methods. 1 (8). doi:10.1002/cesm.12026. ISSN 2832-9023.
  21. Bradford, Porcia T.; Goldstein, Alisa M.; McMaster, Mary L.; Tucker, Margaret A. (2009). "Acral Lentiginous Melanoma: Incidence and Survival Patterns in the United States, 1986-2005". Archives of Dermatology. 145 (4): 427–434. doi:10.1001/archdermatol.2008.609. ISSN 0003-987X. PMC 2735055. PMID 19380664.
  22. "Bob Marley Shouldn't Have Died from Melanoma". Skin Cancer Foundation. 2016-02-06. Retrieved 2016-10-11.

Further reading

This article is issued from Wikipedia. The text is licensed under Creative Commons - Attribution - Sharealike. Additional terms may apply for the media files.