Basics
Learn More
See, Play and Learn
Research
Resources
For You
Summary
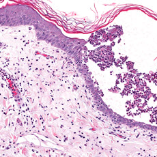
Pemphigus is an autoimmune disorder. If you have it, your immune system attacks healthy cells in your skin and mouth, causing blisters and sores. No one knows the cause. Pemphigus does not spread from person to person. It does not appear to be inherited. But some people's genes put them more at risk for pemphigus.
Pemphigoid is also an autoimmune skin disease. It leads to deep blisters that do not break easily. Pemphigoid is most common in older adults and may be fatal for older, sick patients.
Doctors diagnose pemphigus with a physical exam, a biopsy, and blood tests. The treatment of pemphigus and pemphigoid is the same: one or more medicines to control symptoms. These may include:
- Steroids, which reduce inflammation
- Drugs that suppress the immune system response
- Antibiotics to treat associated infections
NIH: National Institute of Arthritis and Musculoskeletal and Skin Diseases
Specifics
- Bullous Pemphigoid (American Osteopathic College of Dermatology)
- Hailey-Hailey Disease (Benign Chronic Pemphigus) (American Osteopathic College of Dermatology)
-
Mucous Membrane Pemphigoid
(Genetic and Rare Diseases Information Center)
Images
- Pemphigus Vulgaris (VisualDX)
Clinical Trials
-
ClinicalTrials.gov: Pemphigoid, Benign Mucous Membrane
(National Institutes of Health)
-
ClinicalTrials.gov: Pemphigoid, Bullous
(National Institutes of Health)
-
ClinicalTrials.gov: Pemphigus
(National Institutes of Health)
Journal Articles References and abstracts from MEDLINE/PubMed (National Library of Medicine)
Find an Expert
- Find a Dermatologist (American Academy of Dermatology)
-
National Institute of Arthritis and Musculoskeletal and Skin Diseases
Also in Spanish
Patient Handouts
- Bullous pemphigoid (Medical Encyclopedia) Also in Spanish
- Pemphigus vulgaris (Medical Encyclopedia) Also in Spanish