
Overview
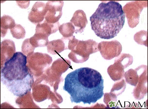
Lymphocytoid appearing plasma cell nucleus similar to a lymphocyte and cytoplasm similar to a plasma cell.Review Date 4/19/2022
Updated by: Diane M. Horowitz, MD, Rheumatology and Internal Medicine, Northwell Health, Great Neck, NY. Review provided by VeriMed Healthcare Network. Also reviewed by David C. Dugdale, MD, Medical Director, Brenda Conaway, Editorial Director, and the A.D.A.M. Editorial team.