
Overview
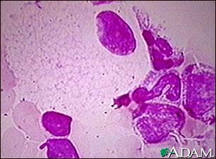
Neimann-Pick is a disease in which excess material is stored inside cells (metabolic storage disease). These cells are referred to as "foam cells" because of their foamy or soap-suds appearance.
Review Date 10/13/2022
Updated by: Anna C. Edens Hurst, MD, MS, Associate Professor in Medical Genetics, The University of Alabama at Birmingham, Birmingham, AL. Review provided by VeriMed Healthcare Network. Also reviewed by David C. Dugdale, MD, Medical Director, Brenda Conaway, Editorial Director, and the A.D.A.M. Editorial team.