
Overview
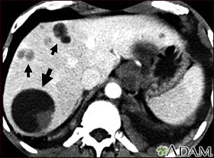
This upper abdominal CT scan shows multiple cysts in the liver, caused by dog tapeworm (echinococcus). Note the large circular cyst (seen on the left side of the screen) and multiple smaller cysts throughout the liver.
Review Date 7/28/2022
Updated by: Charles I. Schwartz MD, FAAP, Clinical Assistant Professor of Pediatrics, Perelman School of Medicine at the University of Pennsylvania, General Pediatrician at PennCare for Kids, Phoenixville, PA. Also reviewed by David C. Dugdale, MD, Medical Director, Brenda Conaway, Editorial Director, and the A.D.A.M. Editorial team.