Learn More
See, Play and Learn
- No links available
Research
Resources
For You
Summary
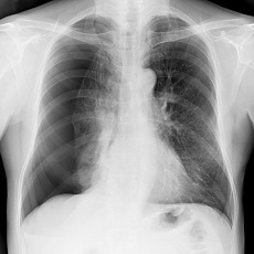
A collapsed lung happens when air enters the pleural space, the area between the lung and the chest wall. If it is a total collapse, it is called pneumothorax. If only part of the lung is affected, it is called atelectasis.
Causes of a collapsed lung include:
- Lung diseases such as pneumonia or lung cancer
- Being on a breathing machine
- Surgery on the chest or abdomen
- A blocked airway
If only a small area of the lung is affected, you may not have symptoms. If a large area is affected, you may feel short of breath and have a rapid heart rate.
A chest x-ray can tell if you have it. Treatment depends on the underlying cause.
NIH: National Heart, Lung, and Blood Institute
Diagnosis and Tests
-
Bronchoscopy and Bronchoalveolar Lavage (BAL)
(National Library of Medicine)
Also in Spanish
- Shortness of Breath (American Academy of Family Physicians) Also in Spanish
-
Tests for Lung Disease
(National Heart, Lung, and Blood Institute)
Also in Spanish
Treatments and Therapies
- Chest tube insertion - series (Medical Encyclopedia) Also in Spanish
- Chest Tube Thoracostomy (American Thoracic Society) - PDF
- Pneumothorax - series (Medical Encyclopedia) Also in Spanish
Living With
-
Pulmonary Rehabilitation: MedlinePlus Health Topic
(National Library of Medicine)
Also in Spanish
Related Issues
-
What Is LAM (Lymphangioleiomyomatosis)?
(National Heart, Lung, and Blood Institute)
Also in Spanish
Clinical Trials
-
ClinicalTrials.gov: Pneumothorax
(National Institutes of Health)
-
ClinicalTrials.gov: Pulmonary Atelectasis
(National Institutes of Health)
Journal Articles References and abstracts from MEDLINE/PubMed (National Library of Medicine)
- Article: Structured respiratory physiotherapy protocol for resolution of atelectasis in pediatric intensive...
- Article: Comparison of the risk of pneumothorax in COVID-19 and seasonal influenza.
- Article: Post-resuscitation pneumothorax: retrospective analysis of incidence, risk factors and outcome-relevance.
- Collapsed Lung -- see more articles
Reference Desk
-
How the Lungs Work
(National Heart, Lung, and Blood Institute)
Also in Spanish
Find an Expert
- American Lung Association
- Lung HelpLine and Tobacco QuitLine (American Lung Association)
-
National Heart, Lung, and Blood Institute
Patient Handouts
- Atelectasis (Medical Encyclopedia) Also in Spanish
- Chest tube insertion (Medical Encyclopedia) Also in Spanish
- Collapsed lung (pneumothorax) (Medical Encyclopedia) Also in Spanish
- Hemothorax (Medical Encyclopedia) Also in Spanish
- Lung surgery (Medical Encyclopedia) Also in Spanish
- Pneumothorax - infants (Medical Encyclopedia) Also in Spanish